Call me back

We’re Accepting New Patients!

Read More Next

Looking for a caring and professional dental practice? We’re excited to welcome new patients to our clinic! Whether you’re due for a check-up, need treatment, or are looking to enhance your smile, our friendly team is here to help.
Contact us today to book your first appointment—we look forward to meeting you!

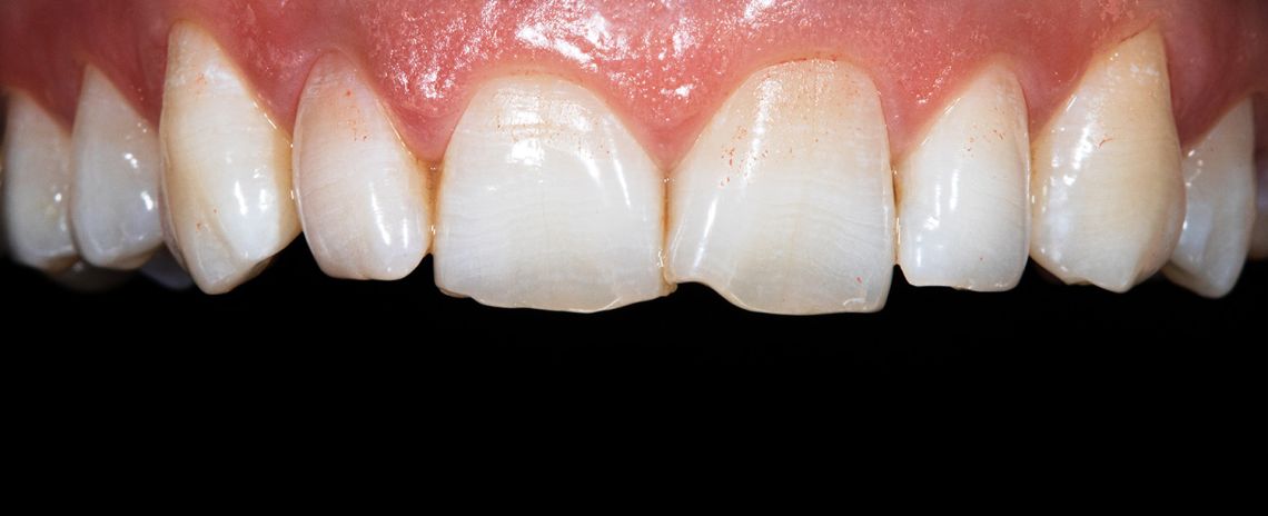
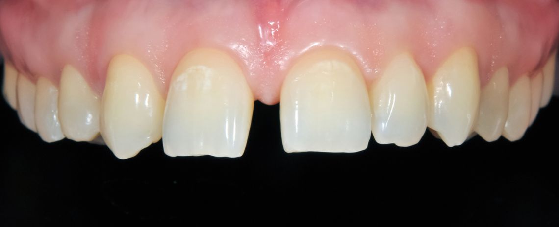
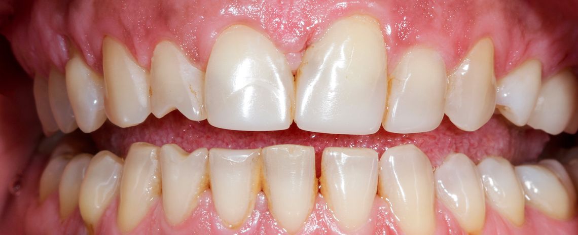
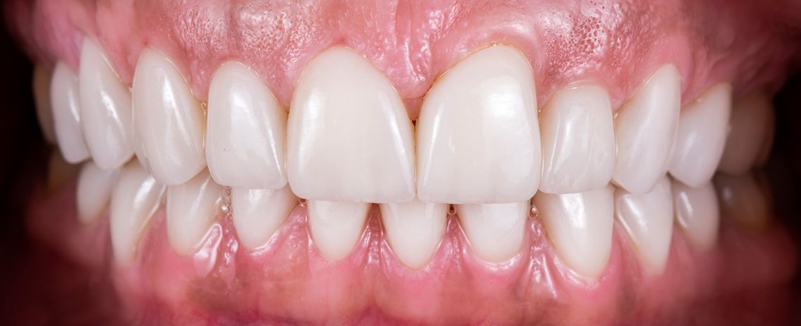
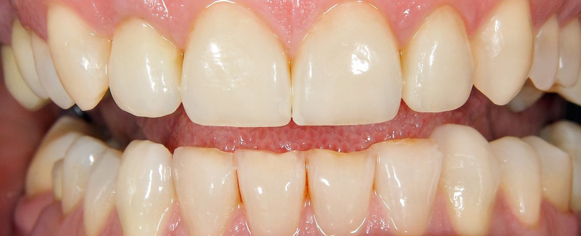
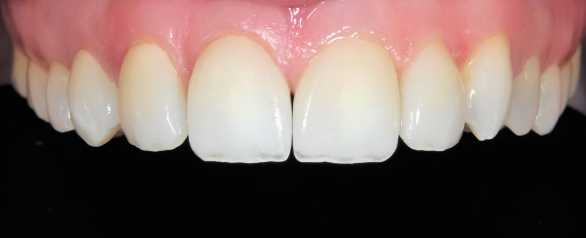
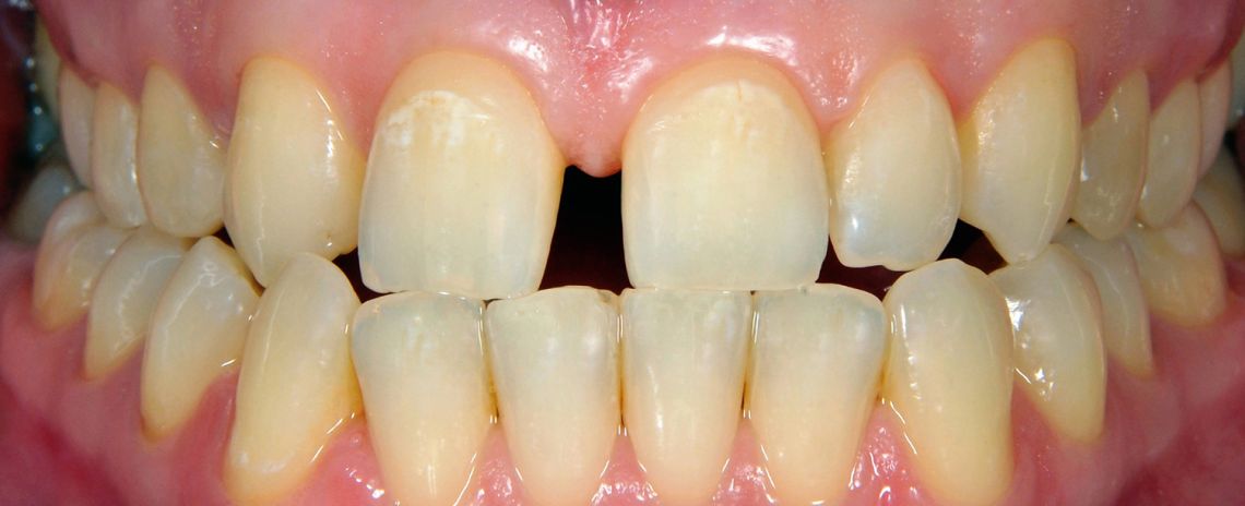
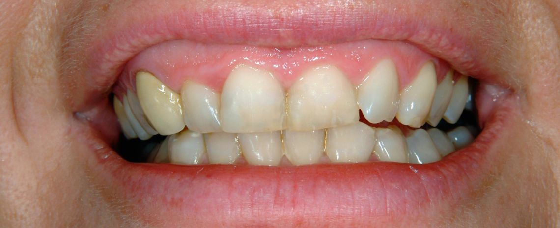
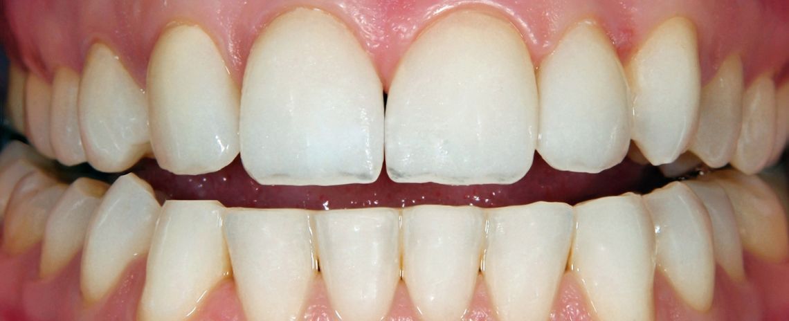
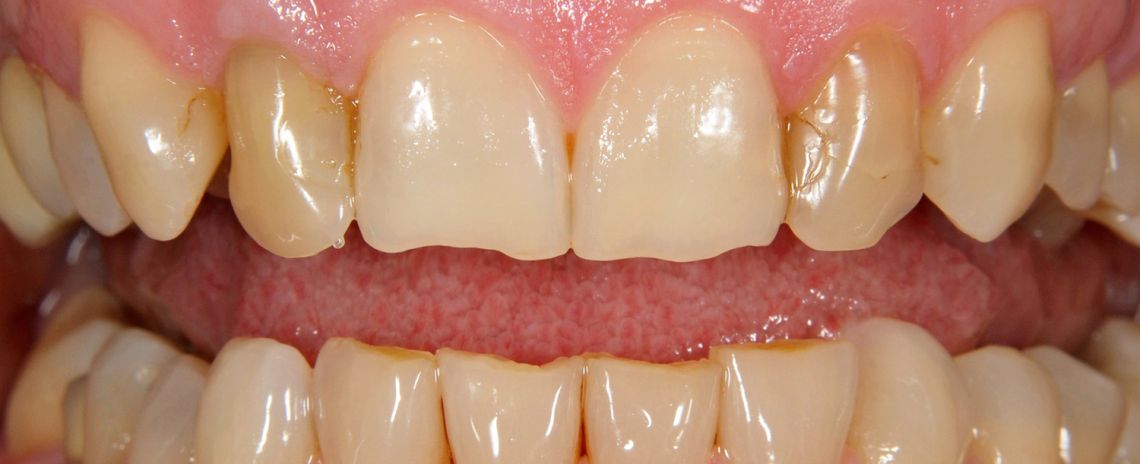
Repair, renew, transform

Give nature a helping hand with our smile makeovers at Kingsclere Dental Practice. We offer a comprehensive range of treatments to help you achieve that winning smile.

A Smile Makeover is a combination of both the skill of the dentist and advanced cosmetic dental treatments in order to create your best possible smile. Whatever your reasons for wanting a smile makeover, there are many different ways in which we can help with:

  • Whitening stained teeth
  • Straighten crooked teeth
  • Repair, replace and improve the appearance of chipped or broken teeth
  • Replace missing teeth
  • Improve a "gummy" smile

The result of a Smile Makeover should be a smile to be proud of; straighter, whiter and better aligned.

Meet the team

Preetpal Marjara

Dentist

GDC NO. 283324

Jaymal Kotecha

Dentist

GDC NO. 259185

Vladimir Fazekas

Dentist

GDC NO. 100899

Previous
Next
Patient Reviews

People are talking about us

The biggest complement we receive is when our patients refer their friends and family to Kingsclere Dental Practice. In fact, we have built much of our practice on these valued, trusted recommendations over the years. Read our reviews to hear why our patients are recommending us…

Patient reviews

1073 Reviews

5.0
AD

Alison Dixon

Have been using this surgery since it incorporated Appollonia House. Not so keen on it at first because it was so much bigger, but actually it's just down to the individuals and everyone I've encountered has been lovely, especially my dentist Vlad and hygienist Sam!

AB

Andrew Best

I have truly bad anxiety and rarely leave the house but coming to the dentist is one of my favourite days out ! Mr P puts me at ease straight away and we have a good chat he is amazing! I must’ve been coming here for nearly 50 years and wouldn’t change a thing

18th January 2026

The whole appointment was delightful. All staff were pleasant and cheerful to talk to and I didn't feel rushed by anyone. Clear and helpful explanations were given and the dentist and I were able to discuss several possibilities for treatment. The dentist listened to my suggestions for a best way forward and together we decided on the best plan - this made me feel valued and positive about the outcomes.

15th January 2026

We saw Preetpal Marjara - his manner is incredibly kind, caring and approachable - suiting the young patient in the chair. He delivered advice with confidence and kindness, making it all the easier for the patient to take on board.

13th January 2026

Professional and welcoming

9th January 2026

Had to wait about 10 minutes for appointment but dentist (Mo) came himself to collect me from the waiting room, apologised, and explained reason for delay (an emergency appointment for a patient with a severe problem.) I really appreciated that. Mo was friendly and efficient and explained everything he did. A very stress free and positive experience.

9th January 2026

I was made very welcome, I was listened to, all my questions were answered very clearly and compassionately

8th January 2026

Preetpal always so kind approachable, explains all treatments with care.Whole family think he's great. Highly professional and skilled

IW

Ian Walker

Friendly professional service

6th January 2026

Was seen as emergency very quickly. Receptionist very welcoming and after appointment were very helpful to get an urgent follow up appointment. Dentist and nurse very kind and professional. Prescription given worked quickly to alleviate extreme pain.

24th December 2025

Staff behaviour and attitudes were very professional and I felt very comfortable during my treatments.

JH

Jacqueline Hodge

Professional service and on time.

19th December 2025

Short wait and efficient team

MP

Monika Pride

Professional service, great experience.

17th December 2025

Although the appointment started slightly later than booked in for, hygienist spoke clearly about what the appointment entailed and offered solutions for the problem I had and talked through everything. Waited a small bit before the dentist appointment as I was his first patient of the day but he explained everything well.

16th December 2025

Thorough checkup and a great attitude shown to my 8 year old son by the dentist.

16th December 2025

My wife and I both attended for back-to-back appointments. She now needs to be seen in the downstairs clinic due to being a wheelchair user with limited mobility. We have been attending this clinnic for 23 years now and have always been very satisfied - and our satisfaction has not changed since the change to the new regime after the buyout/retirement of the previous partnersALL of the staff at Kingslere are outstanding but we are especially happy with the clinician we visit, Preetpal Marjara. We believe he is the best dentist we have ever seen. His attitude and friendliness are second to none, and we take his clinical excellence for granted.If we were to have one issue, it is that the surgery is very hard to access for a wheelchair user. Could you not do some sort of reconstruction of the front garden, maybe with a zig-zag ramp, to give better access?Many thanks.

BT

Ben Taylor

Brilliant family dentists. Jay takes his time to help the kids understand about good dental healthcare and we always feel very well looked after on our visits.

AM

Andrew Mcmorran

As usual a splendid service

11th December 2025

Preet is always fantastic to deal with, very friendly, welcoming, always makes me feel comfortable and explains everything very well. The nurses and reception team are always brilliant. I couldn’t recommend everyone enough

Prev Previous
Next Next